Habits & Genetics: Are You at Risk for Gum Disease?
March 10, 2026

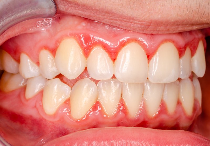
As one of the most common oral health issues among adults in the United States, gum disease can affect your overall health if left untreated. The symptoms – bleeding, swollen, tender gums – are often overlooked or dismissed. Many people often remain unaware that they have some form of it, even though plenty of risk factors exist. If you want to know whether your chances for gum disease are high, keep reading to learn what you can do to prevent it.
What Are the Risks Commonly Associated with Gum Disease?
There are many risk factors associated with gum disease. While some of the following may not surprise you, others may prompt you to rethink your lifestyle habits or ask family members about their oral health and hygiene.
You may be at an increased risk for gum disease if:
- You do not practice regular oral hygiene. Failing to brush, floss, and rinse will eventually lead to bacteria building up and attacking your gum tissues, causing them to become inflamed and bleed.
- You smoke or use tobacco products.
- You experience a lot of stress, as your immune system will be less successful in fighting off infections.
- You are obese.
- You have diabetes.
- You have HIV/AIDS or another autoimmune disorder.
- You have heart disease, cancer, or rheumatoid arthritis.
- You are taking medications that cause dry mouth.
- You are pregnant or experiencing hormonal changes.
- You are genetically susceptible.
- You are an older man or woman.
What Can You Do to Lower Your Risk?
You may be unable to change your genetics, but you can lower your risk of gum disease by taking proper care of your oral health. Many of these factors can be mitigated by maintaining a regular dental hygiene routine. You can also:
- Continue to see your dentist every six months for dental checkups and cleanings
- Ask about a nightguard if you grind or clench your teeth at night
- Seek cessation resources to help you give up smoking
- Find ways to de-stress (i.e., read a book, go on a walk, talk to a counselor, meditate, etc.)
- Start exercising and adopt a healthy diet to lose weight
- Ask your doctor about changing your medication to something that prevents dry mouth
- Stay hydrated by drinking lots of water
Avoiding gum disease by taking a proactive approach is always best; however, if you believe you might be at risk or notice symptoms early, don’t wait to see your dentist so you can get the care you need right away.
About the Author
Dr. Proshat Shahrestany takes gum disease seriously. Treating countless patients with bleeding and swollen tissues requires complex solutions to remove bacterial buildup. She and our team are here to administer treatment in the earliest stages, if possible, to try to reverse the symptoms. If left to progress, we will help manage the condition so that future bone and tooth loss do not occur. If you are worried you might be at risk for gum disease, contact us at (818) 760-0200 to learn how we can help.